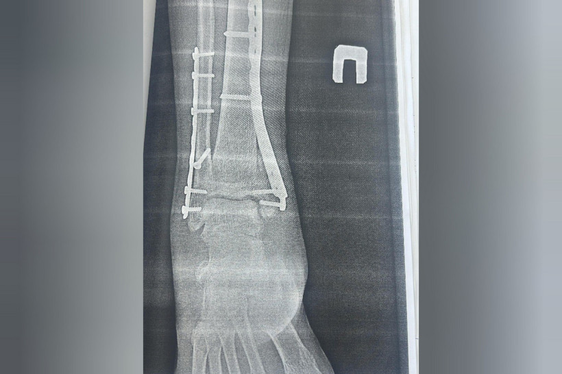
Медицинское заключение подтвердило необходимость стационарного лечения и длительной реабилитации. После происшествия мужчина подал иск в суд и потребовал от «управляйки» 300 тысяч рублей в качестве компенсации морального вреда.
Во время разбирательства установлено, что УК ненадлежащим образом исполняла обязанности по уборке территории, именно это привело к образованию опасной наледи. Как сообщили в пресс-службе Благовещенского городского суда, с компании «Амур Сервис» взыскана вся запрошенная сумма компенсации. Также в пользу потерпевшего ей назначен штраф в 150 тысяч рублей.
Возрастная категория материалов: 18+












Двухлетний ребенок пострадал в лобовом ДТП на трассе Благовещенск — Свободный
Добавить комментарий
Комментарии